
Resinas Unicromáticas: Uma única cor para toda escala Vita?
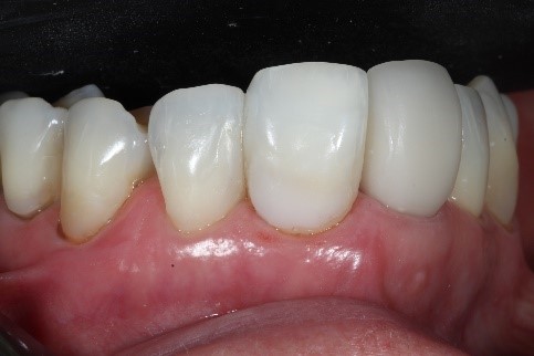
Resinas Unicromáticas Por Michele Aguiar Vivas Na odontologia, observamos uma tendência crescente em simplificar a prática clínica por meio do desenvolvimento de novos materiais. Adesivos

Resinas Unicromáticas Por Michele Aguiar Vivas Na odontologia, observamos uma tendência crescente em simplificar a prática clínica por meio do desenvolvimento de novos materiais. Adesivos

avanços e desafios das técnicas regenerativas dentárias Na vanguarda da odontologia moderna, as técnicas regenerativas estão redefinindo o tratamento endodôntico, trazendo esperança e novas possibilidades

zircônia dentária No mundo em constante evolução da odontologia, a zircônia emergiu como um material revolucionário, redefinindo os padrões de reabilitação oral. Com suas propriedades

Explorando a Nanotecnologia em Materiais Dentários A nanotecnologia, uma das fronteiras mais promissoras da ciência moderna, está revolucionando inúmeros campos, e a odontologia não é

materiais dentários A odontologia está em constante evolução, com avanços significativos nos materiais dentários transformando a maneira como cuidamos da saúde bucal. Desde composites de

atraindo pacientes premium No competitivo mundo da odontologia, muitos profissionais se encontram presos em um ciclo de trabalho exaustivo que nem sempre se traduz em

Ácido poli-d-lático, o novo bioestimulador de colágeno Por Gabriella Castro O ácido poli-L-lático já vem sendo utilizado como bioestimulador de colágeno desde 2004, quando foi aprovado

Bifosfonatos Por Amanda de Souza Introdução Nas últimas décadas temos encontrado um número mais elevado de pacientes com câncer, que são submetidos cada vez mais a

doença gengivais Introdução A saúde das nossas gengivas é um dos pilares da saúde bucal, mas frequentemente é negligenciada na rotina de cuidados diários. Este

cáries dentárias Um sorriso saudável é um tesouro que todos desejamos manter ao longo de nossas vidas. Uma parte fundamental desse cuidado envolve a prevenção